
Topics: Health, World News, Food and Drink
A woman who didn't like to drink water and opted for something a bit 'trendier' ended up having to have more than 300 kidney stones removed as a result.
Like many, the 20-year-old didn't like to drink plain ol' water, presumably because she found it boring, and so opted instead for a trendier beverage.
She has been identified only as Xiao-yu, a Taiwanese woman living in the city of Tainan - in the southwest of the country which is governed by China.

Advert
"A few days ago, I went to the emergency department of Chi Mei Hospital for treatment due to fever and pain in my right lower back," she said, as per Chi Mei Medical Centre.
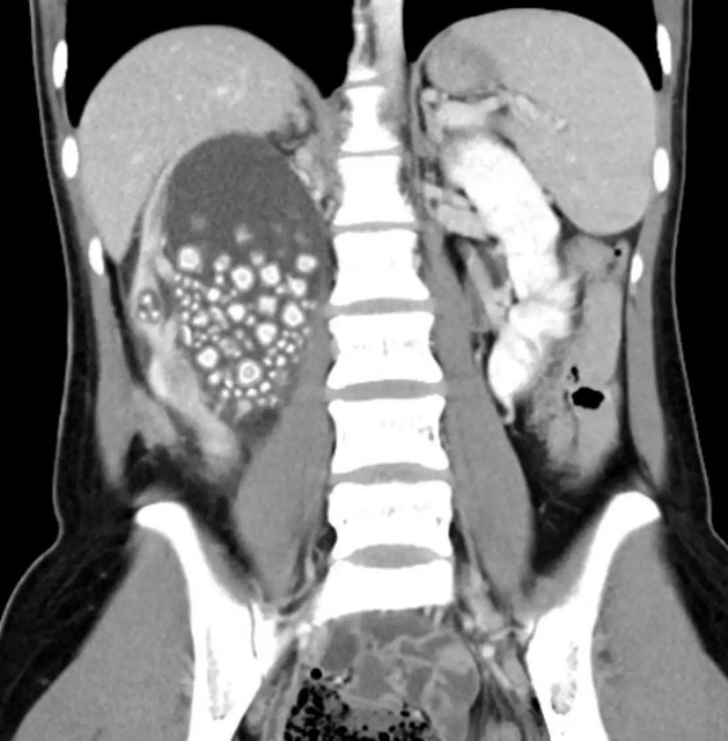
It explained how through the use of an ultrasound carried out by an emergency physician, the clinic discovered a severely swollen right kidney carrying hundreds of kidney stones.
A subsequent blood test followed which uncovered just how high her white blood cells count was, and she was immediately given a bed and made to wait for her procedure.
Next, a computed tomography scan revealed that the center of the pelvis was filled with stones ranging from as small as half a centimeter to as large as two centimeters.
Advert

To remove them she was injected with antibiotics before a 'a percutaneous nephrostomy tube was placed to relieve renal edema and urinary tract infection problems'.
But it wasn't enough.
Dr Lin Caiyang, from the hospital's Department of Urology, was called in to perform minimally invasive percutaneous nephrolithotomy and successfully removed more than 300 kidney stones, the center reported.
Advert
After just a few days she was admitted from hospital, while doctors described the kidney stones as 'small steamed buns'.
The whole ordeal took place back in December, and while there hasn't been an update on her health recently, the center stated a week later that she was 'currently in a stable condition'.

But what contributed to such an extensive build-up of kidney stones?
Advert
Well, apparently Xiao-yu was a huge fan of bubble tea - which is actually quite popular here in the US.
It originated in Taiwan in the early 1980s before it appeared in California in the 1990s, and has since spread around the world - including in the UK and across Europe.
While bubble tea was not the definitive reason she developed so many kidney stones, it likely contributed to her pain.
Dr Caiyang, the man who performed the surgery, explained that kidney stones tend to develop when people are dehydrated and so their urine becomes more concentrated.
Advert
At which point, minerals inside the kidney combined and crystallize - forming stones.