
Striking images show the havoc a diet high in ultra-processed foods can have inside the body.
Health experts have been raising the alarm about ultra-processed foods as there are growing concerns that the public are not aware of the damage they can do to the body or the conditions they have been linked to.
Also known as UPFs, these foods are reinforced with chemical additives, colorings, preservatives, and other industrial chemicals that you wouldn’t normally find in your kitchen.
They are often rich in calories, sugar, fat, and salt.
Advert
Common examples can be found in our cupboards and fridges at home, and the most common culprits include cereals, soft drinks, potato chips, canned foods, cured meats, and frozen dinners.

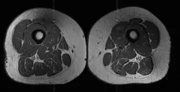
In a recent case study examining the effects of UPFs, doctors shared an MRI image of a woman’s thigh after she consumed 87 percent of her nutrition from these foods.
Her diet was made up of foods and drinks like cold cereals, chocolate candy bars and soda. Despite having a moderate activity level, the high concentration of UPFs in her diet caused a noticeable change in her leg muscles.
The first image shows a woman whose thigh muscles have minimal fat infiltration. She has a diet of 30 percent UPFs.

The second image shows a woman's thighs with greater marbling, and her diet consists of 87 percent UPFs.
Researchers found that greater consumption of UPF was linked to more apparent ‘marbling’, which describes when fat accumulates within the thigh muscles themselves and replaces healthy muscle tissue, leading to muscle weakening.

More fat in the thigh muscles makes everyday activities more difficult - such as walking briskly, or carrying shopping and getting up from a chair. This could lead to a more sedentary lifestyle, speeding up muscle loss.
Higher levels of fat accumulation in the muscles is linked to a higher risk of metabolic disease.
Myosteatosis is the condition in which fat accumulates in muscle fibers. People with fattier muscles have higher rates of insulin resistance, metabolic syndrome and chronic inflammation.
When certain metabolic stressors arise, such as a diet high in UPFs, chronic low-grade inflammation or insulin resistance, fat cells start to build up between and inside the muscle fibers.
Researchers used data from Osteoarthritis Initiative, a huge study that follows people at risk of developing knee arthritis.
The team narrowed down the participants to 615 who did not already have arthritis, chronic diseases, or joint pain. Each participant finished a detailed questionnaire about everything they had eaten in the past year.

With the help of a classification system, the researchers calculated what percentage of each person’s daily diet came from UPFs.
An MRI scan was done on each participant’s thighs, and researchers analyzed the scans and graded fat infiltration in the thigh muscles, including the hamstrings, quadriceps and inner thighs, on a scale from zero, which was no fat, to four, meaning greater than 50 percent fat.
When a participant increased their UPF consumption, muscle fat levels also rose. This startling finding was established in all muscle groups studied, including hamstring, quadriceps and inner thighs.
Researchers established that the people who ate and drank higher amounts of UPFs had far greater intramuscular fat, especially in the thighs.
The study has been published in the journal Radiology.
Topics: Food and Drink, Health