
When people talk about having things on their minds, hopefully it’s nothing like the poor woman who had a living parasite in her brain.
The unsuspecting patient has become the first to have a living parasitic worm removed, whilst under the care of surgeons in Australia.
If that isn’t enough to make your skin crawl, the roundworm larvae measured around 3 inches long (7.6 cm) and is more commonly found in pythons. (Grim)

Advert
Prior to going under the knife, the unnamed woman had been experiencing symptoms like abdominal pain, diarrhoea and night sweats.
Things became so bad that the Aussie was later admitted to hospital, but she was eventually sent home.
A year later, the patient would return after experiencing rapidly worsening forgetfulness and depression.
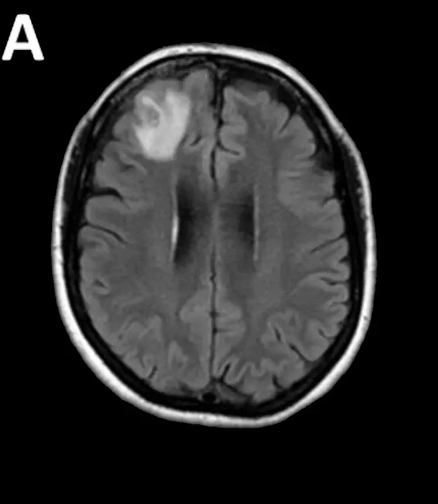
Scans would also reveal changes in the 64-year-old’s brain and fearing the worst, medics did a brain biopsy.
Advert
It was during the routine op that they made the shocking discovery.
Recalling the bizarre incident to The Canberra Times, the surgeon revealed that they’d expected to discover an abscess or potentially a tumour.
Instead, Hari Priya Bandi found a roundworm larvae at the end of her forceps and was horrified to find it was still wriggling.
"I just thought: ‘What is that? It doesn’t make any sense. But it’s alive and moving,’” she later explained.
Advert
She added: “It continued to move with vigor. We all felt a bit sick.”
It’s pretty understandable that the grim discovery would make the medic feel a little queasy, however, Bandi has gone on to write a paper about the medical marvel.

Enlisting the help of infectious disease physician, Sanjaya Senanayake, the pair have theorised that the roundworm could have come from the area around the woman’s home.
Advert
This is because the parasite is not known to infect humans and is mostly found in carpet pythons.
According to the experts, it is likely the woman consumed contaminated food and carried the parasite on her hands – which had been picked up from a closeby carpet python habitat.
For those who are still curious, the unnamed patient went on to recover and her symptoms have improved.
Medics have kept a close eye on the woman and even sent her home with antiparasitic drugs to aid her recovery.
Advert
“She was so grateful to have an answer for what had been causing her trouble for so very long,” Bandi told the newspaper.
Great, now we have something more to fear next time we’re down under!