
Joe Yates
Joe is a journalist for UNILAD, who particularly enjoys writing about crime. He has worked in journalism for five years, and has covered everything from murder trials to celeb news.
@JMYjourno
Doctors have successfully treated a devastating genetic disease which affects approximately 41,000 Americans.
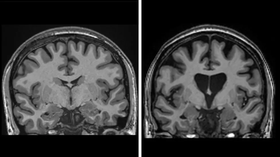
Huntington's disease is a condition which affects a person's physical, mental, and emotional abilities, with the BBC describing it as a mixture of dementia, Parkinson’s and motor neurone disease.
The condition, which affects over 40,000 Americans, according to the Huntington's Disease Society of America, kills brain cells by mutating a protein, known as Huntington's protein, and can be inherited, with a child who has a parent with the gene at a 50/50 chance of having it.
The National Health Service (NHS) states that symptoms often start between the ages of 30 and 50; however, researchers have managed to slow it down by as much as 75 per cent for the first time.
Advert
A team at University College London revealed that people who’d normally experience one year of decline in their condition would instead take four years to reach the same point after treatment.

“We never in our wildest dreams would have expected a 75% slowing of clinical progression,” Professor Sarah Tabrizi, director of the University College London Huntington's Disease Centre, told the BBC.
The breakthrough, which Tabrizi has dubbed 'spectacular', involves gene therapy delivered directly into the brain in a marathon 12 to 18-hour surgery.
A modified virus is used to introduce new genetic instructions, spreading from brain cell to brain cell and helping them block the protein that causes Huntington’s disease.
The process involved 29 patients, and three years on, data shows fewer brain cells are dying, and disease progression has slowed dramatically.
One individual, who had previously been medically retired, has since gone back to work, and several others in the trial remain able to walk, even though they had been expected to use a wheelchair.
"This is the result we’ve been waiting for,” said Professor Ed Wild, a consultant neurologist at the National Hospital for Neurology and Neurosurgery at University College London Hospitals NHS Foundation Trust.
For people like 30-year-old Jack May-Davis, the news is life-changing. May-Davis inherited the Huntington’s gene from his dad, Fred, who died in 2016 after years of decline, and his grandmother.

The Brit shared the difficulty watching his dad's health deteriorate to the point where he needed 24/7 care, saying: "It was really awful and horrible."
Having taken part in the UCL's research, the barrister clerk said the breakthrough has left him 'overwhelmed' as he can finally plan for the future.
“It does allow me to think my life could be that much longer." he added.
The therapy is expected to be expensive and won’t be suitable for everyone, but researchers believe it could 'last for life'. UniQure, the company behind the treatment, said they have plans to apply to the US Food and Drug Administration (FDA) early next year, requesting accelerated approval to market the drug, with applications in the UK and Europe to follow.