
A disturbing simulation has shown exactly how leg lengthening surgery works, and people have been left so shocked that they feel it 'should be illegal'.
The 'leg-lengthening' cosmetic procedure has been in there news a lot recently, as incredibly, it's somehow apparently medically possible to stretch out your limbs.
But there are many drawbacks, as the gruelling surgery is just the beginning of a long road ahead for the patient.
It takes a long while until the individual who has undergone the surgery is able to stretch their legs, and a long road of physiotherapy follows to get anywhere near to a person's optimal level.
Advert
But how exactly does the surgery work in the first place? Well, a graphic simulation has revealed exactly what goes down on the operating table. Watch at your own risk:
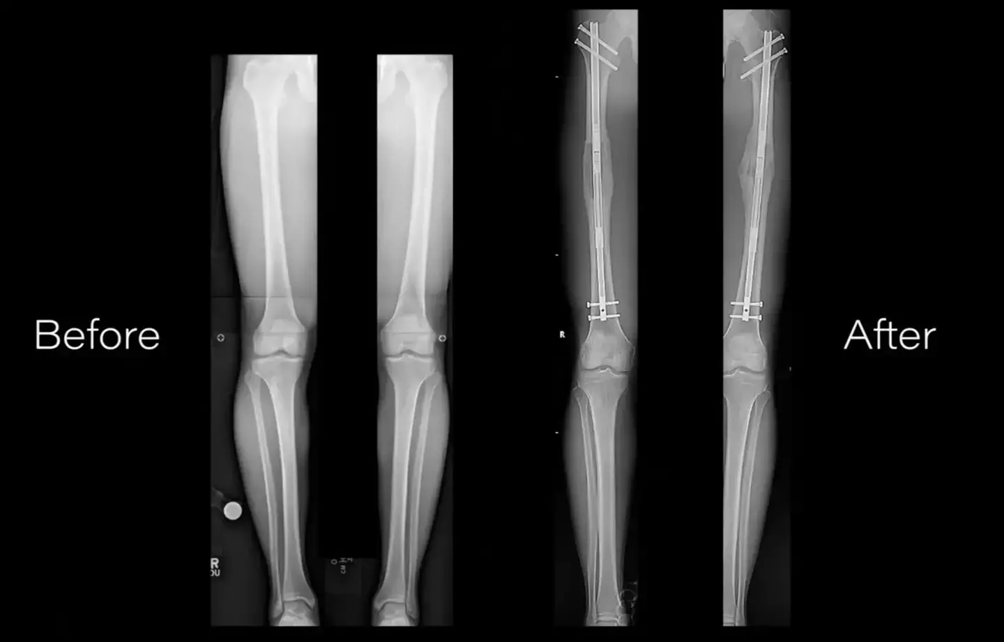
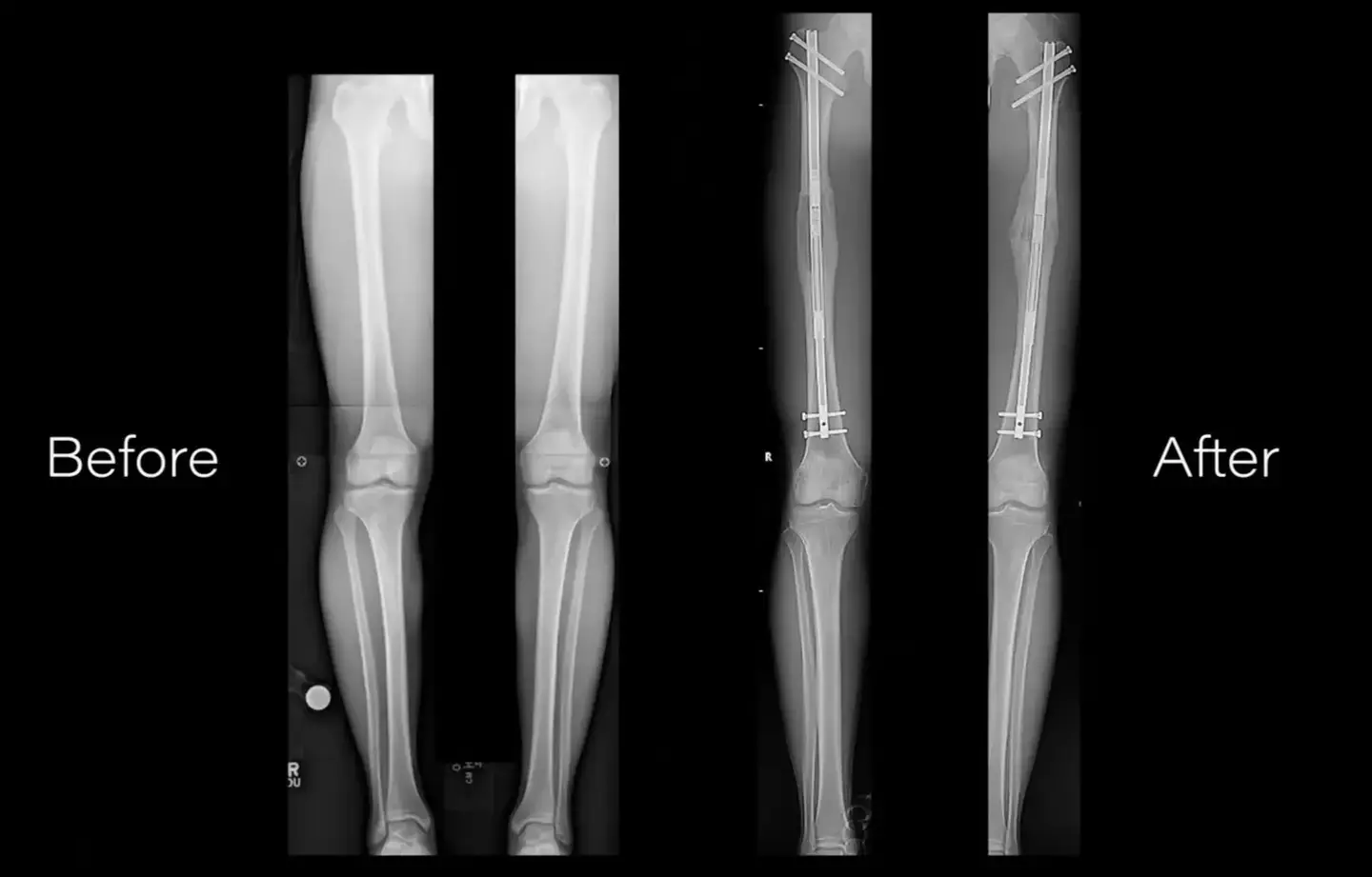
In a video uploaded to YouTube by NuVasiveInc, we quickly learn surgeons perform an osteotomy by cutting the affected bone into two segments.
A series of metal pins and braces are then implanted to the area around a break with a little screw sticking out.
Advert
There are actually two options when it comes to having the procedure, according to Cleveland Clinic.
The first involves an external fixator, which sees a metal frame usually sticking out several inches from the body.
Another option is to place an internal rod inside of the bone, and it's more aesthetically pleasing (I guess), as it's not seen outside of the body.
If the patient has an external fitting, then they must screw a set amount each day for the next few weeks following the operation.
Advert
This gradually stretches out the leg as the bone is healing, until the point of desired length is reached for the patient.
The surgery which was very realistically illustrated in the video, has since been re-uploaded to Twitter by the 'Interesting As F**k' page.

And many have flocked to the comments section of the Twitter video, with the vast majority surprised the surgery is even a thing.
Advert
"I’m a short guy and I would never consider that surgery," one person penned while a second added: "No thanks I'll just be short."
While a third remarked: "This should be illegal."
Not everyone is against the surgery however, with one person on social media saying they wouldn't get the surgery but can understand why people would.
"Want to get in an argument with someone? Good luck, it's just going to be short jokes made against you," they said.
Advert
"You're not allowed to get mad at anything, ever, or else you're having a Napoleon complex. F*ck, I want to be tall just so I can be mad without having my height thrown at me."