
Topics: News, World News, Health, Mental Health
A procedure in which people's height is extended by stretching out their legs has been causing controversy online.
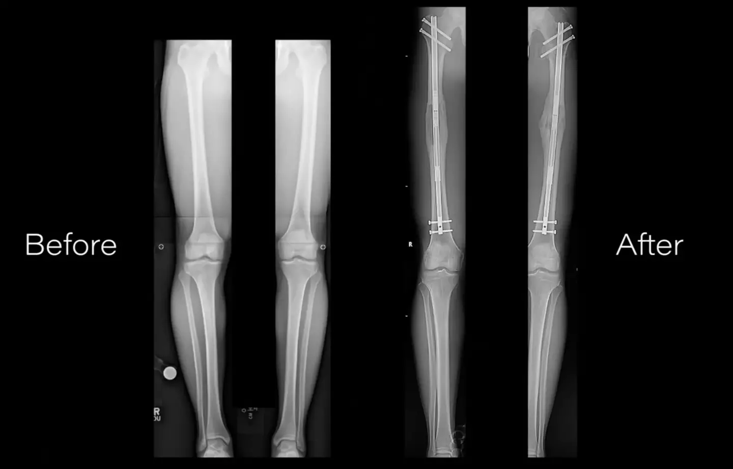
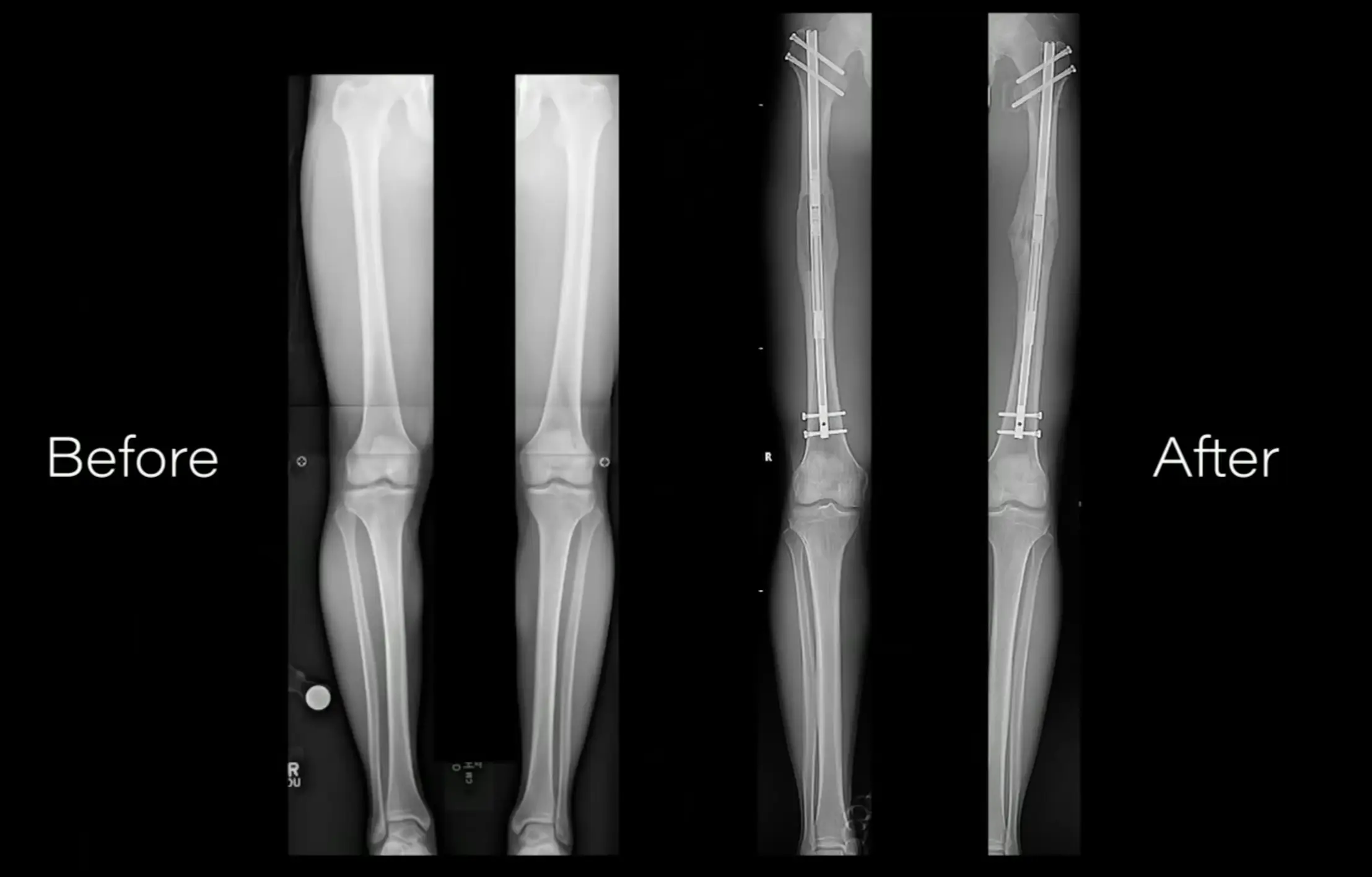
The 'leg-lengthening' cosmetic procedure involves a number of different steps, and can take a long time to finish.
The gruelling surgery itself is just the beginning, with it requiring a long time to stretch the legs, before then working with a physiotherapist to get the best results.
Advert
But what exactly does this procedure consist of? Let's take a look at a simplified version of how it can work.
Things get off to a strong start when the bones in the thighs are broken. A series of metal pins and braces are then implanted to the area around the break with a little screw sticking out.
Over the next few weeks the patient has to turn the screw a set amount each day. This gradually stretches out the leg as the bone is healing.
Advert
If you ever had braces, think of it as having your braces tightened... but on your legs. Ouch.
Then, once you have reached the desired length, you allow the leg to fully heal and begin rehabilitation with a physiotherapist so you can learn to get around with your new height.
It might sound far-fetched, but the procedure can result in gaining several inches in height.

Advert
To be clear, there are medical reasons to get the procedure as well. For example, someone's leg may be shorter than the other due to an injury. But people do still get the procedure for cosmetic reasons.
Regardless, people had a lot of things to say about the procedure, with one person saying they wouldn't get the surgery but can understand why people would.
"Want to get in an argument with someone? Good luck, it's just going to be short jokes made against you," they said online.
"You're not allowed to get mad at anything, ever, or else you're having a Napoleon complex. F*ck, I want to be tall just so I can be mad without having my height thrown at me."
Advert
Another wrote: "I'll say it, as someone who is 5'5, I would do this if I had the money. I can't count how many times men and women treated me differently because of my height.

"The physical pain would be nothing compared to the humiliation I've been through, and I'm sure I've had it easy. Sign me up."
Someone else who had the surgery for medical reasons urged people not to have it unless they need it.
Advert
"As a man who is only 5'3, and has had this done several times to correct a leg that didn't grow longer from a birth defect: Please. I beg you," they said. "Especially men who feel they aren't tall enough. Don't do this.
"Yes. It'll make you taller, but it's going to f**k with your bones and muscles. And, you're going to look terribly disproportionate. Don't do this unless you have an actual health reason."
Perhaps one way to get around this might be to be more considerate and thoughtful, and not to make derogatory comments about people's height or perpetuate harmful stereotypes.
Just a thought!