
Warning: contains graphic images
For half a century a woman carried a tumor on her head which developed into a cyst the size of a small bag.
The 52-year-old Indian woman, who has not been named, had lived with the humongous growth ever since it started during her childhood years.
The woman, who hails from Bengaluru - to the south of the country, finally sought medical advice last year and what the doctors discovered was incredible.
Advert

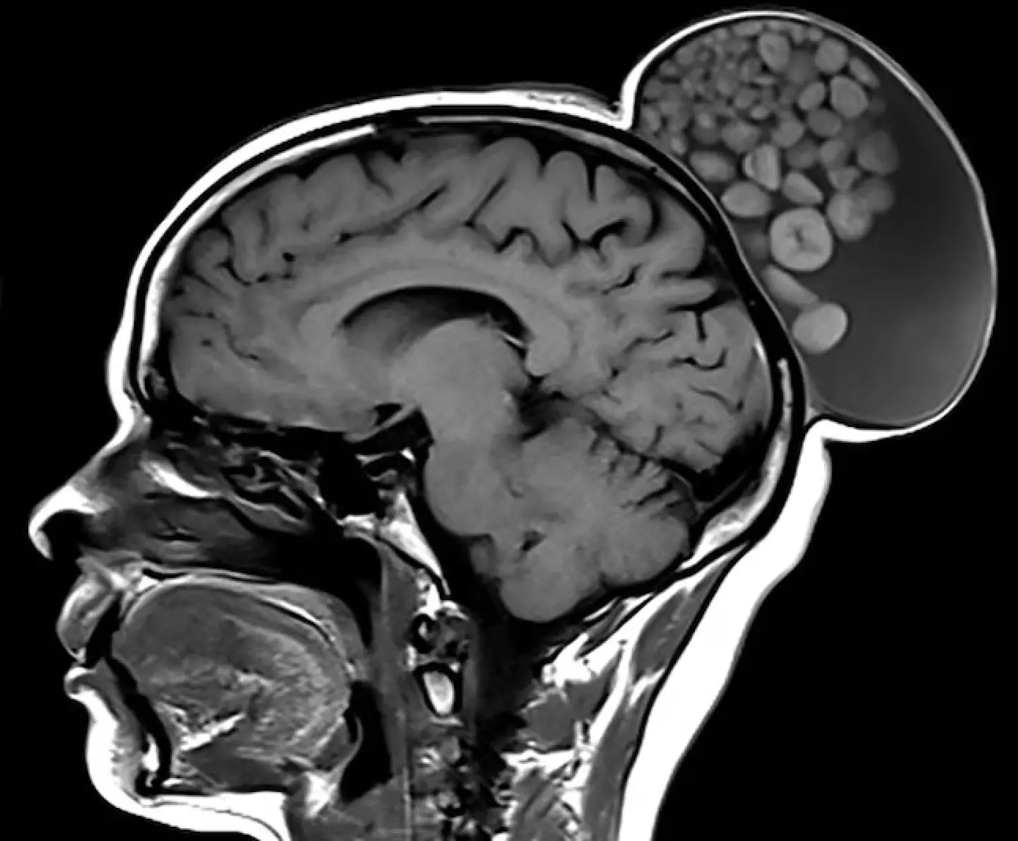
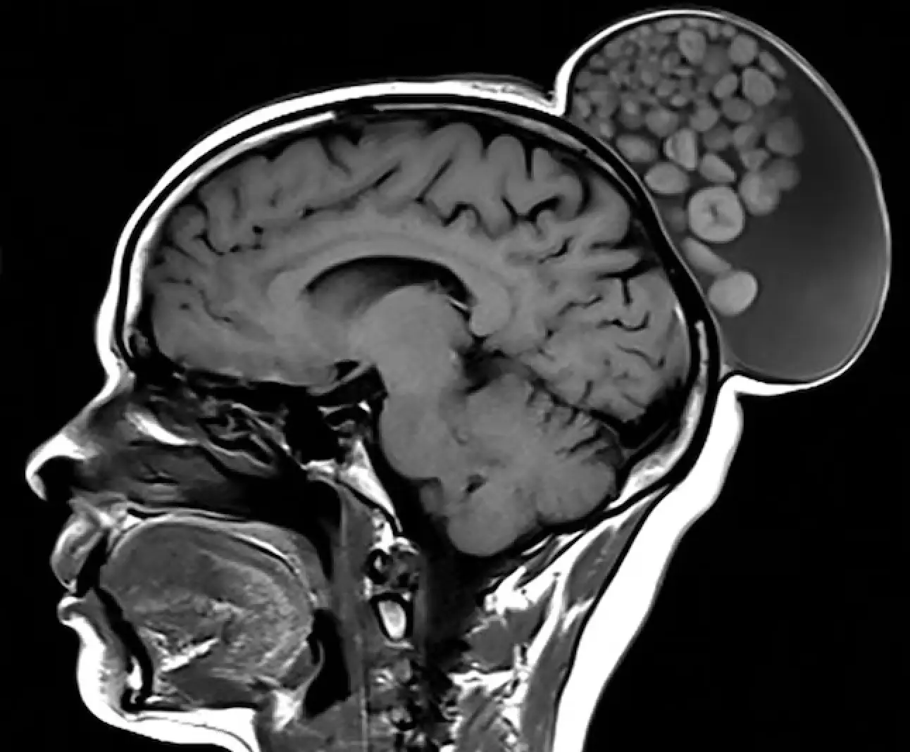
When she arrived at the Sri Sathya Sai Institute of Higher Medical Sciences the tumor measured just shy of six inches in length, around four inches in width and almost five inches in height.
Despite having such a large cyst growing from her head it was completely 'painless' which explained in part why she never visited a doctor previously.
Upon further inspection they discovered dozens of balls of keratin, which looked like marbles, inside the growth - which was hidden at the back of her scalp behind her hair.
Advert
At first glance it could have been mistaken for a hair bun.

During surgery, the report, which was published in the Radiology Journal, described how doctors saw that there was balls of fluid inside, as well as hair and fat.
Detailing the discovery, the report read: "Mature cystic teratomas are commonly found in the gonadal tissues and in the head and neck region. In the head, they have a predilection for the orbit and scalp.
Advert
"The 'marbles' are spherical aggregates of keratin, fat, sebaceous material, fibrin, and hair floating within the fluid matrix of the cyst.
"Though uncommon, the 'sack of marbles' sign is considered pathognomonic of mature cystic teratomas in the head and neck."
Once doctors cut inside the tumor they snapped a picture of it.
Look away now if you're squeamish...
Advert

They captioned the color picture: "Photograph of the gross specimen shows a sebum-like material within the cyst, hard spherical nodules, and strands of hair."
Despite the large growth's appearance, it in fact is not cancerous, and according to the Financial Express 'they develop from embryonic cells and contain hair, fluid, teeth or skin glands'.
Fortunately for the woman, it didn't start growing again when they checked back up on it six months later.
Advert
The study read: “Histopathologic examination confirmed the diagnosis of a mature cystic teratoma, with elements from all three germ layers. There was no recurrence after six months of follow-up."
Doctors are still puzzled as to why this and similar cases occur.