
Topics: Science, Technology

Topics: Science, Technology
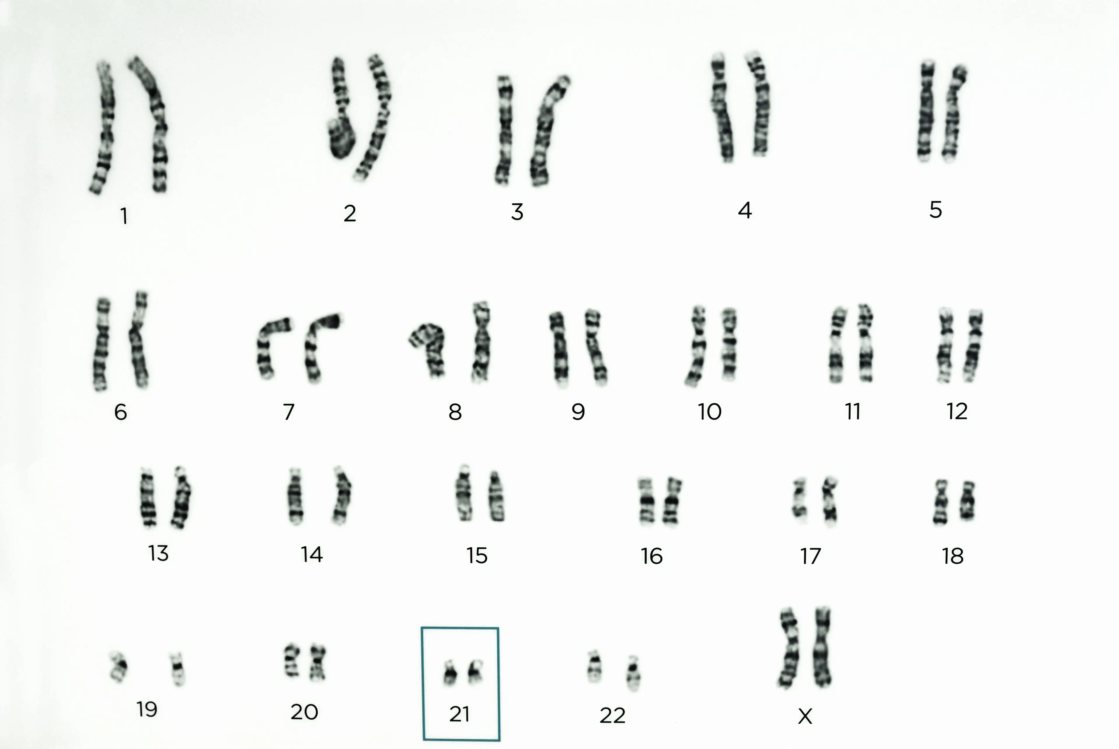
Scientists are divided after discovering that the Y Chromosome is disappearing.
The genetic marker largely determines our assigned sex at birth, but it's thought to have slowly disintegrated over the millennia humans have existed.
Now, researchers are theorising what will happen to men should the Y Chromosome disappear from our genetic makeup – but not everyone agrees.

Advert
Thankfully, the Y chromosome is not necessary for life as women only carry XX chromosomes throughout their lives.
Meanwhile, men will have an XY chromosome with the latter carrying the ‘master switch’ gene (SRY) which determines biological sex.
Sadly though, the Y chromosome usually appears to be slightly shrivelled compared to its counterpart.
It’s led scientists to carry out a study into why this occurred, suggesting that the Y chromosome has degenerated over the estimated 3.5 billion years we’ve existed.
If this continues, they estimate that the genetic marker has roughly 4.6 million years left before it disappears from our DNA altogether.
This is due to the Y chromosome having only one copy - passed from father to son - which has degraded over time - unlike other chromosomes that are in pairs.
So, is this the end of the ‘man’ part of humanity?

While there’s no immediate cause for alarm - especially since animals don't technically need sex chromosomes - the apparent shrinking chromosome has caused researchers to question what could happen next.
Australian researcher, Jenny Graves, has suggested that the Y will eventually leave our DNA – possibly causing fertility problems for our species in the future – due to a lack of men.
Based at La Trobe University, she goes on to theorise that this could force the emergence of a new species as we evolve over the coming millions of years.
However, other scientists have a different opinion.

This includes Professor Darren Griffin and Peter Ellis from the University of Kent, who have stated that the end of the Y chromosome will not mean the end of men.
Instead, they suggest that the SRY gene will simply move to another chromosome as it has done in other species - such as the mole vole.
The scientists even suggest that concerns about the Y chromosome may soon be unnecessary, thanks to emerging fertility tech.
In fact, many genes are no longer needed for human reproduction thanks to new treatments and genetic engineering may soon be able to replace the Y chromosome altogether.
Until then, researchers will continue to study the degrading genetic marker as they delve deeper into the heart of human biology.