
Previously unseen features in the brains of people who suffer from migraines could prove to be the key in unlocking a potential treatment for the painful affliction.
A severe headache often felt as a throbbing pain on one side of the head which can lead to blurred vision and nausea, migraines are sadly all too common.
Some people have to go through the agony of suffering them several times as week, while others are fortunate enough to only experience them sporadically.
According to the NHS, migraines affect around one in five women and approximately one in 15 men, with the painful headaches usually kicking in early on in adult life.
Advert

They are a thoroughly unpleasant thing to go through and research into their exact cause has yet to turn up a concrete answer, though treatments are in development to tackle them.
However, there are hopes that new information gleaned from MRI scans could shed some light on the situation and prove key in developing our understanding of the difficulties people with migraines are facing.
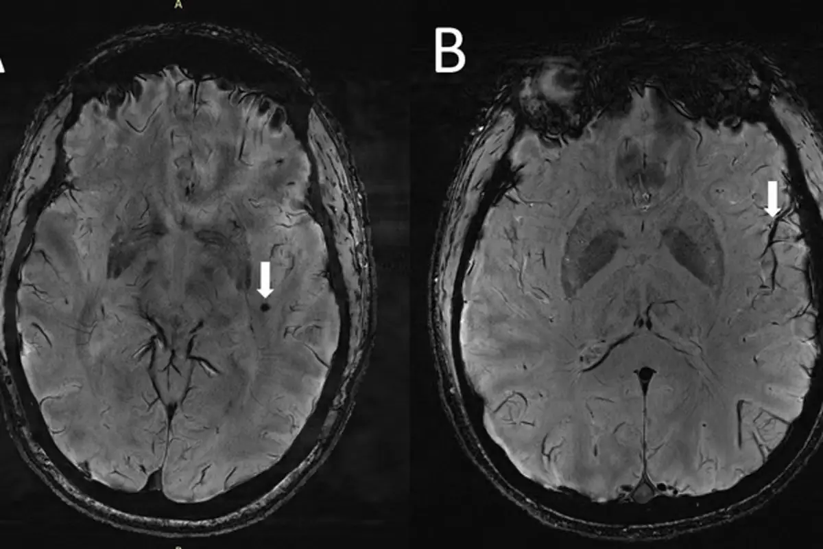
A study into something called perivascular spaces - which for those of us without a biology degree means the spaces around the blood vessels that help clear out fluids from the brain - has turned up a possible reason.
NewsAtlas reports that enlargement of these perivascular spaces can lead to small vessel disease and other problems such as inflammation or developing abnormalities.
The team of researchers were looking into the possible impacts perivascular spaces might have on migraines, scanning the brains of healthy people along with those suffering from migraines both chronic and episodic.
Getting advanced MRI scans of the brains to identify tiny changes between the brains, the researchers found 'significant changes' in the brains of migraine sufferers.
Study co-author Wilson Xu of the University of Southern California said he believed it was the first study of its kind to use such high resolution MRI scans, meaning they could see things other studies wouldn't have been able to spot.

He said: "Because 7T MRI is able to create images of the brain with much higher resolution and better quality than other MRI types, it can be used to demonstrate much smaller changes that happen in brain tissue after a migraine.
"In people with chronic migraine and episodic migraine without aura, there are significant changes in the perivascular spaces of a brain region called the centrum semiovale."
"These changes have never been reported before."
Whether this difference between brains of migraine sufferers and minds unburdened with the pain will prove key to understanding and possible helping tackle migraines, it's a new avenue to pursue.