
WARNING: This article contains footage that some might find distressing
Shocking footage shows the moments before and after a man was shot in the head with a crossbow at point-blank range.
And amazingly, the unnamed victim survived the attack.
Advert
The man, in his 30s, had been filming a time-lapse video from the roof of a shed, meaning he was able to capture the whole thing on camera.
The clip shows him as he's sat in a garden chair looking at his phone when all of a sudden, the attacker comes right up behind him and aims a crossbow at his head.
It then cuts to the man who, despite being injured, manages to lock the assailant, identified as Maricel Melinte, outside.
Melinte, 47, has now been jailed for 18 years after being found guilty of attempted murder for the incident, which unfolded on September 26, 2021.
A court heard how a fight ensued after the crossbow was fired and Melinte further injured the man with a hammer.
Advert
But the victim fought him off and ran back into the house, locking his assailant outside before stumbling out himself and falling to the ground.
Neighbours who noticed the scuffle called Hampshire Police, who arrived minutes later to take both men to the hospital and arrest Melinte.

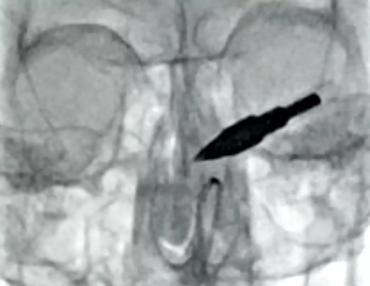
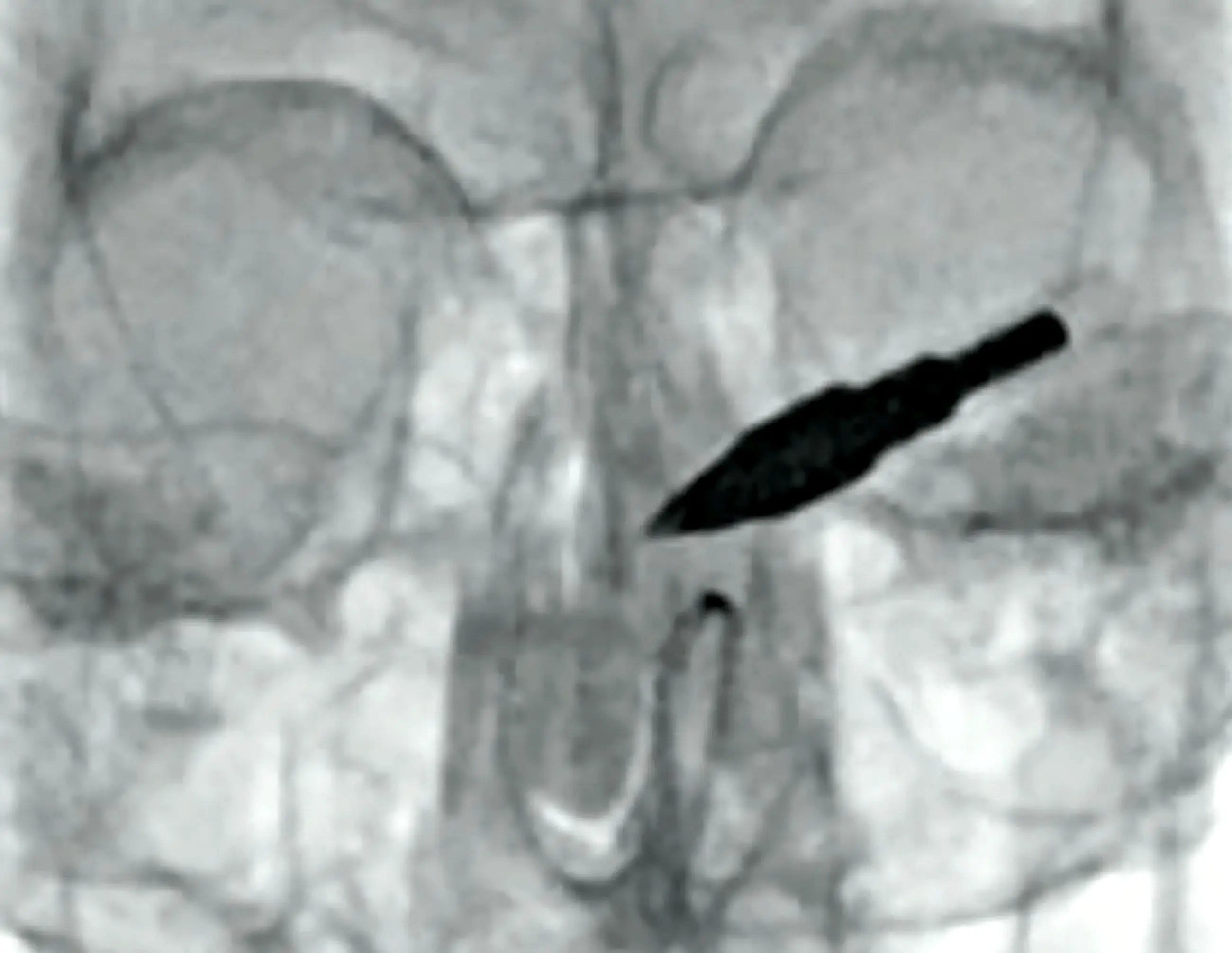
The victim had to be placed in a coma for two weeks after scans showed that the crossbow bolt was lodged in his skull and had gone into his brain.
Advert
Although he wasn't expected to survive, neurosurgeons at Southampton General Hospital carried out a complicated and lengthy operation and managed to remove the bolt.
When he came to, he told officers that he had unwittingly filmed the whole incident on his camera, which he put on top of Melinte’s shed to film a time-lapse video that afternoon.
The victim still has issues controlling his left eye and his right elbow, which was dislocated during the incident and also required surgery – but he is on the road to recovery.

Advert
Melinte was sentenced to 18 years in prison at Winchester crown court on Friday, February 10.
DI Howard Broadribb said: "The fact that this man survived such an ordeal is quite simply a miracle – the bolt was millimetres away from killing him.
"I can only be thankful that it stopped where it did so he was able to give us his account of what happened that afternoon.
"Although thankfully he is still with us, his life has been changed forever in the space of a few seconds due to Melinte’s incomprehensible actions. I would like to commend his bravery throughout the court process.
Advert

"We may never know why Melinte decided to commit this awful act, but thanks to the hard work of the investigators and the footage obtained from the camera, he will be spending a long time behind bars for this terrifying attack.
"We take all instances of serious violence incredibly seriously and in this case, we used all the resources at our disposal to make sure the victim got the justice he deserved."