
A woman born with an extremely rare condition has shared what made her think that 'something was different' about her body.
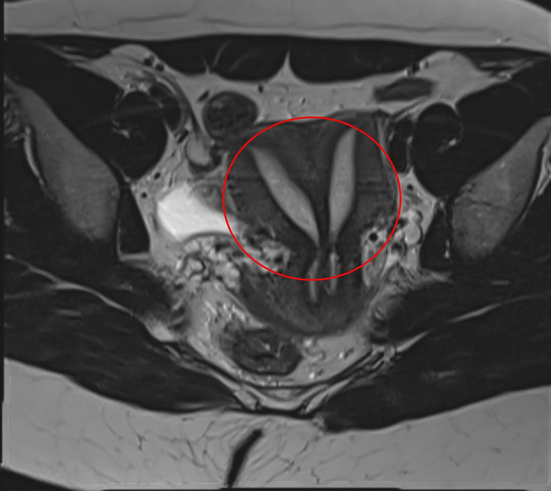
A 27-year-old woman has shared what it's like to have complete uterus didelphys. Per Cleveland Clinic, this is a rare congenital condition where you’re born with two uteruses.
It's also referred to as 'double uteruses' and only affects around 0.3 percent of Americans.
With the rarity of the condition in mind, this woman took to Reddit to open the floor to questions about her uterus didelphys.
Advert
She penned on the social media platform's famous 'Ask Me Anything' (AMA) page: "I (27F) have complete uterus didelphys, resulting in 2 uteruses, 2 cervixes, and almost 2 vaginas. (We joke that I have 1 & a half of them.) I had suspicions something was off for a long time, but didn’t get diagnosed until I was in my early-mid twenties. I have given birth to one child. Ask me anything!"

One person proceeded to ask for more details about her 'suspicions' and how she was feeling 'off', branding her rare condition as 'fascinating'.
"I always had a feeling something was different, but I couldn’t pinpoint what," the woman replied. "I would have very painful periods (which I thought was just luck of the draw) and even when using a tampon, I would continue to bleed and still have to use liners/pads. I thought everyone had to do this.
"Also, when feeling around inside, sorry if this is TMI, but I can only describe it as feeling like there were 2 'tunnels.' Sex was also painful/uncomfortable at times, but again, for some reason I thought this was normal."
While there aren't any 'symptoms' of uterus didelphys, what the woman is describing about her periods is said to be one indication of the condition.
Mayo Clinic explains: "Women who have a double vagina along with a double uterus may first see a health care provider for menstrual bleeding that isn't stopped by a tampon. This can happen when a tampon is placed in one vagina, but blood still flows from the second uterus and vagina."
Other ways the condition might be found is during a routine pelvic exam or if a woman is experiencing multiple miscarriages — which is one of the complications that comes with uterus didelphys.
Other complications include infertility, premature birth, and kidney problems. This isn't always the case, however, and people with the rare condition can still have successful pregnancies.