
You’ll perhaps think twice about busting this well-known dance move after one man was left with a mass on his head after repeatedly performing it.
Next time you feel the urge to get down, make sure you wear a helmet, otherwise you could develop a ‘breakdance bulge’.
According to doctors, the man came into the hospital with a strange lump on his head which was causing him hair loss.
The man, who was in his 30s, actually continued to perform this one move despite his head hurting, as reported by a study in BMJ Case Reports.
Advert
To curb his discomfort of being in public with his lump, he would cover it up, however, after five years of it continuing to grow, it became tender to touch, and he wanted to know what was happening to his head - as you would.
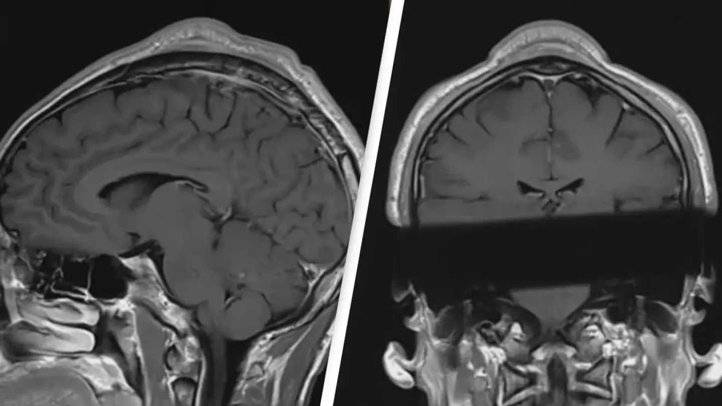
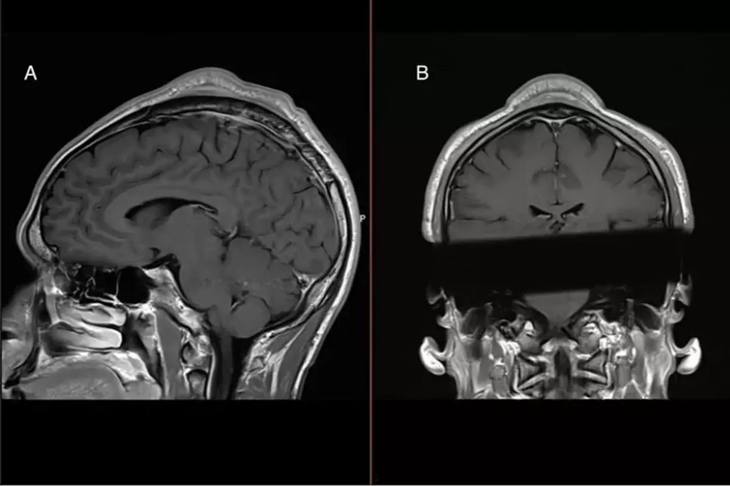
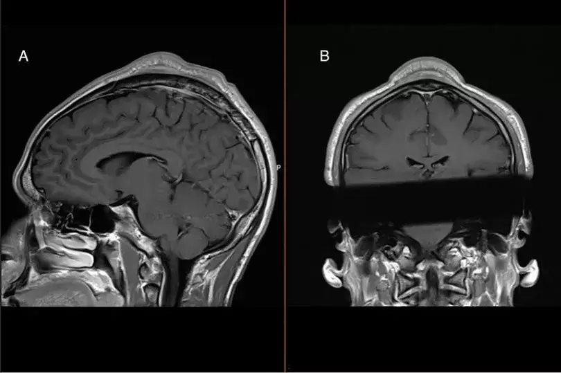
As it turned out, it was his dance moves that caused the lump of tissue to form, and when his brain was scanned, they noted an even more surprising thing: a mass.

Instead of finding a cancerous tumor, they believed what they were seeing was a rare case of ‘headspin hole’, which is a benign tumor made up of tissue.
Advert
According to the Cleveland Clinic, a tumor is a mass of abnormal cells that form in the body which can then affect tissues, organs, skin, or bones.
However, after examining the man, doctors realized that it was, in fact, his head spinning move which he had done for 19 years that had caused the bulge.
The doctors also noticed that the skin above the bump moved easily, which suggested that this mass was formed in between the skin and the skull - which the scan confirmed to be true.
However, to treat it, they would have to surgically remove it, so they went ahead and removed the large lump of tissue and shaved the thickened portion of his skull to its normal width.
Advert

The man was happy with the results and said in a statement included in the report: "I have received a lot of positive feedback and people say it looks well done, that I have a nice scar.
"Many say that they no longer notice that I have a bump and that my head looks completely normal."
Dr Christian Baastrup Sondergaard, who also co-authored the report, shared that ‘although this is a rare condition unique to breakdancers, the successful surgical treatment in this case demonstrates that it is a viable option for symptom relief and improved quality of life for affected individuals’.
Advert
The report further explained while that 'headspin hole' is known within the breakdancing community, it’s not well researched. However, they found that treating it with surgery ‘appears to be a successful intervention’, as reported by Live Science.
The doctors noted: "The presence of the lesion and associated discomfort were aesthetically displeasing to the patient, but the protuberance had not hindered the patient from continuing his head-spinning activities.”
The authors summarized the man’s case as 'a pioneering effort in detailing a clinical instance of headspin hole'.
It's something to think about if your party trick is spinning on your head.