
A woman almost ended up dying after she 'popped' her aorta while having sex in a certain position.
A near-death experience left one woman unsure if she was coming or going as she ended up in the hospital with doctors diagnosing her with a leak in her aorta after feeling pain during sex.
According to the American Journal of Case Reports, the 45-year-old Mississippi woman was having sex with her husband when she felt a 'pop' in her chest during an orgasm.
The journal records that during her orgasm she was in a position with her legs pressed against her chest when she suddenly felt a pain in her chest.
Advert
She was rushed to hospital with severe stabbing pains which she rated '10/10' when asked to describe how painful her experience was.
When staff examined her they found she had an alarmingly high blood pressure of 220/140, for context the average level for a woman in her 40s is 120/80.

Doctors gave her morphine and fentanyl to soothe her pain, which managed to help her become calmer and less affected by the pain.
Advert
The woman who almost died was known to doctors as she had a medical history of hypertension (high blood pressure) and had been prescribed medication, though she hadn't taken it for over a year.
She also said she smoked about six or seven cigarettes a day and had been smoking for 17 years, though doctors found nothing immediately concerning in her physical examination.
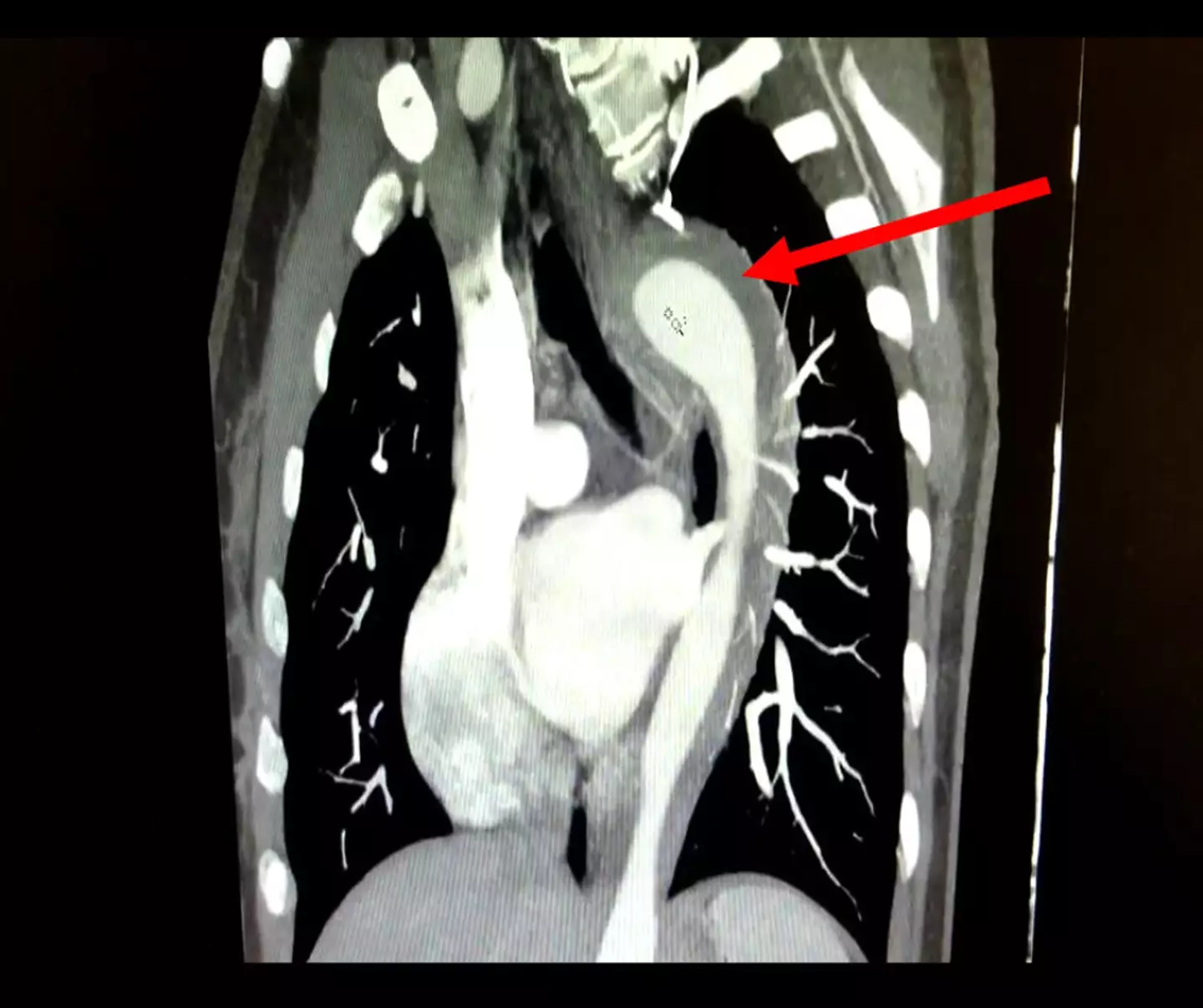
She was sent for tests and an electrocardiogram showed damage to her aorta, which doctors were able to treat without surgery.
The woman was diagnosed with acute aortic syndrome, a life-threatening condition, and it was determined that she'd suffered what doctors call an aortic intramural hematoma.
Advert
In layman's terms, that means blood is leaking through the innermost layer of the aorta and starts flowing between the inner and outer walls of the major artery.

After a three day stay in hospital where she received treatment from specialists she was discharged home, and since this happened in the US she was also probably charged too.
The aorta is the main artery which carries blood away from the heart and into the rest of your body where it performs the vital task of keeping you alive.
Advert
Acute aortic syndrome is very dangerous, as for every hour a patient is not treated their chances of death rise by one percent.
Men are twice as likely to develop the condition as women, and the peak age of diagnosis is around 65 years of age.
Especially among older men with high blood pressure there is a risk of going out with a bang due to acute aortic syndrome.
Doctors thought the woman's case was 'unusual' for a number of reasons including her age, but did note that her high blood pressure and history of smoking were common contributing factors to the condition.
Advert
If you have a story you want to tell, send it to UNILAD via [email protected]
Topics: Health, Science, US News, Sex and Relationships