
An 'early warning sign' of dementia that can be picked up during routine health scans has been identified.
The degenerative brain condition is estimated to impact more than 55 million people worldwide.
Alzheimer's is the most common form of dementia and sadly, cases are on the rise.
In the US, some 13 million people are estimated to have the disease by 2050, as per the Alzheimer's Association.
Advert
While lifestyle habits like eating certain foods and walking daily are said to help 'prevent' Alzheimer's, some people are more genetically predisposed to the condition.
Alzheimer's is caused by the abnormal build-up of plaques and tangles in the brain, which causes cells to die and the brain to shrink over time.

Early symptoms of Alzheimer's disease include forgetting recent events or conversations.
Advert
Over time, it can lead to serious memory loss and impact a person's ability to do everyday tasks, the Mayo Clinic says.
Now, scientists from from Nanyang Technological University in Singapore have made a breakthrough.
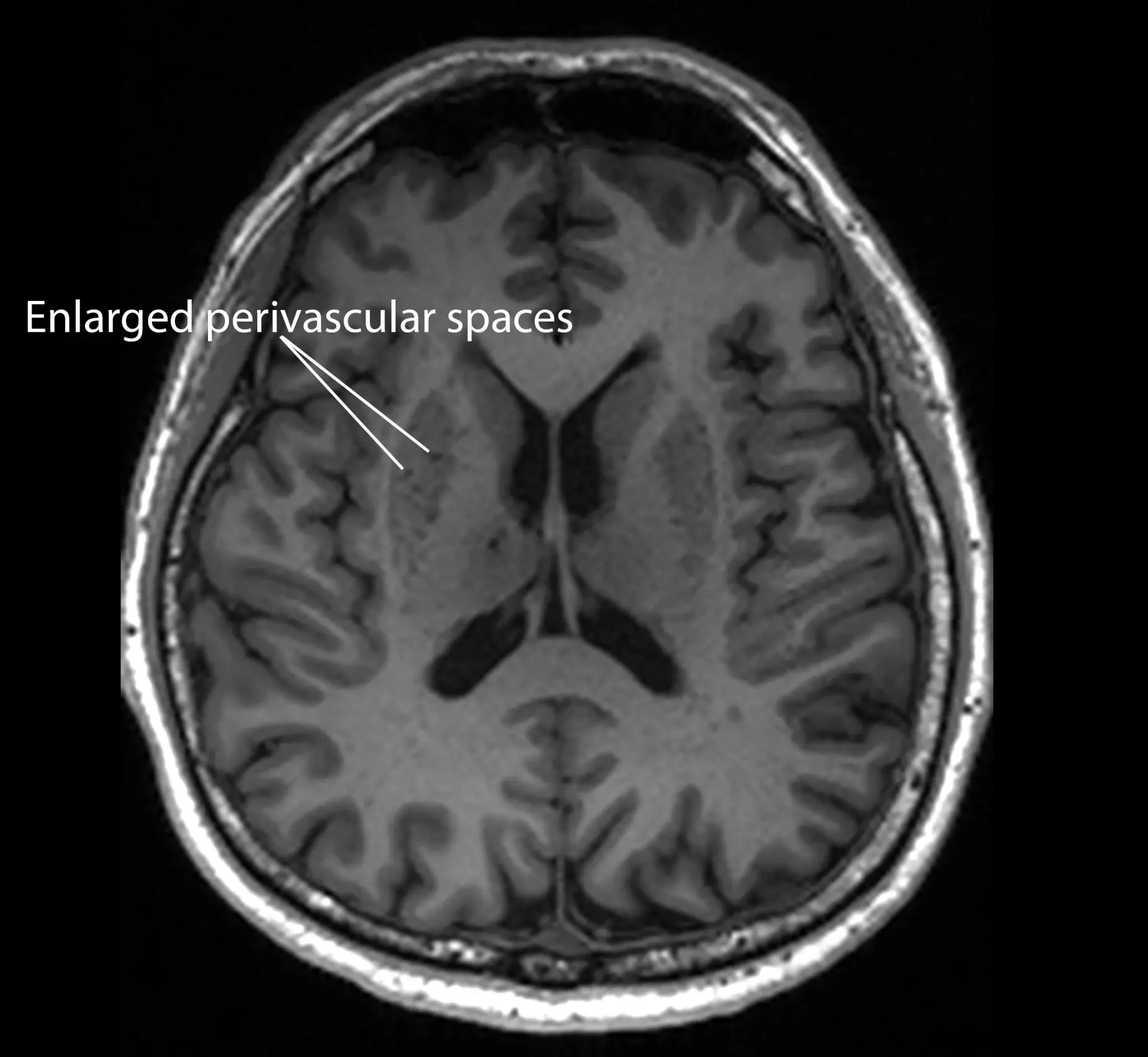
They've discovered that clogged drainage spaces on the brain, visible on scans, can be linked with early signs of dementia.
In fact, people with early cognitive issues, like mild memory problems, are more likely to have these clogged spaces.
Advert
These drains help remove toxic waste from the organ but can become enlarged when backed up.
Known as enlarged perivascular spaces, they are visible on routine Magnetic Resonance Imaging (MRI) scans.

Some 40 million MRI scans are performed annually in the US each year.
Advert
These enlarged spaces can be linked to other signs of Alzheimer’s, including higher amyloid plaques, more tau tangles and signs of brain cell damage.
This suggests the clogging happens before major brain damage, making it a promising early detection marker.
“Since these brain anomalies can be visually identified on routine magnetic resonance imaging (MRI) scans performed to evaluate cognitive decline, identifying them could complement existing methods to detect Alzheimer’s earlier, without having to do and pay for additional tests,” said Associate Professor Nagaendran Kandiah, who led the study.
Almost 1,000 participants in Singapore were studied, including nearly 350 who did not have any cognitive issues.
Advert

Fifth year medical student and first author of the study, Justin Ong, added that spotting Alzheimer’s at an earlier stage allows doctors to intervene sooner.
This means they could potentially slow the progression of symptoms such as memory loss, reduced processing speed and mood changes, Sci Tech Daily notes.
The study's findings were published in the Neurology Journals in September.
Advert
If you've been affected by dementia or Alzheimer's and would like to speak with someone in confidence, contact the Alzheimer's Association via 800.272.3900 open 24 hours seven days a week.
Topics: Dementia, Health, World News, Science, US News