
Junkyard frontman David Roach is currently battling an 'aggressive' form of cancer that has spread to his head, neck, and throat.
In January, the rock band revealed on social media that the singer had been diagnosed with squamous cell carcinoma, which is a type of skin cancer.
Sadly, David is now receiving around-the-clock care after discovering that the cancer has spread.
"First off, we want to thank you all for the overwhelming support and love you’ve shown us during this incredibly challenging time," a recent post on Instagram, credited to Roach and his fiancée Jennifer, read.
Advert
"We wish we could respond to each of you, but honestly, there are no words right now. We’re still struggling to process the news we received on Tuesday.
"After David’s ongoing fever and cough led us to the ER, we got results that have completely shattered our world. It’s devastating and life-altering, and we’re trying to navigate through the emotions and uncertainty that come with it."

The joint-statement continued: "David is showing such incredible strength and resilience, and even in the midst of this darkness, he’s still managing to keep his sense of humor. It’s a reminder of how amazing he is.
Advert
"But we know this journey ahead will be extremely tough, David made it clear he is not giving up hope and we’re going to need all of your love and prayers.
"Thank you for standing by us. Your kindness and support mean everything to us. Please keep David in your thoughts as we take this one step at a time. With all our love, David and Jennifer."
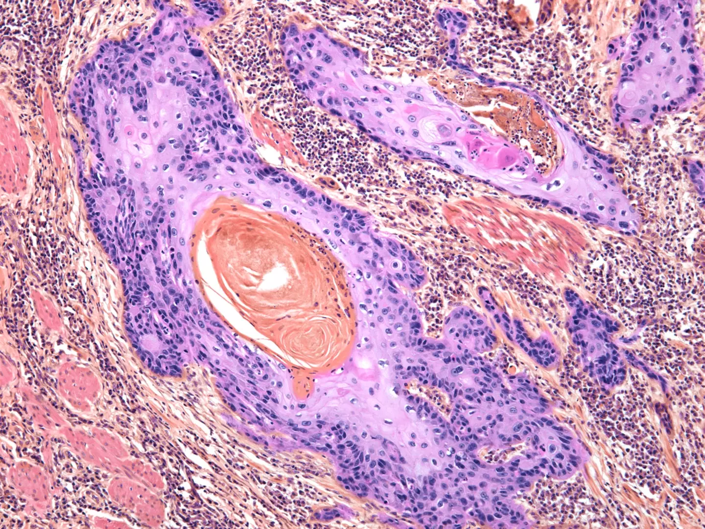
What is squamous cell carcinoma?
Squamous cell carcinoma can occur anywhere on the body but often occurs on skin that's been exposed to the sun - for example, the scalp, backs of hands or the ears.
Advert
However, when it occurs in people with black or brown skin, it is usually in places that are not skin exposed.
It begins as a growth of cells on the skin and if not treated, can grow or spread to other parts of the body.

What are the symptoms?
Mayo Clinic explains that the symptoms of squamous cell carcinoma include:
- a firm bump on the skin, which might be the same color as the skin, or it might look different. It can look pink, red, black or brown, depending on skin color.
- a flat sore with a scaly crust
- a new sore or raised area on an old scar or sore
- a rough, scaly patch on the lip that may become an open sore
- a sore or rough patch inside the mouth
- a raised patch or wartlike sore on or in the anus or on the genitals

What causes squamous cell carcinoma?
Squamous cell carcinoma occurs when the squamous cells in the skin have changes in their DNA, which instruct the cells to multiply quickly.
Advert
The cells then go on to invade and destroy healthy tissues and if untreated, can spread to other areas of the body.
"Ultraviolet (UV) radiation causes most of the DNA changes in skin cells. UV radiation can come from sunlight, tanning lamps and tanning beds," explains Mayo Clinic.
"But skin cancers also can grow on skin that's not usually in sunlight. This means that other factors might add to the risk of skin cancer. One such factor might be having a condition that weakens the immune system."
A GoFundMe has since been set up to support Roach, who has been described as possessing a 'knack for making people feel special and appreciated', and Jennifer - who has had to step away from her employment to become his full-time carer.
Advert
If you’ve been affected by any of these issues and want to speak to someone in confidence, contact the American Cancer Society on 1-800-227-2345 or via their live chat feature, available 24/7 every day of the year.