
A man described as ‘instrumental’ in eradicating a deadly disease is now close to ending another.
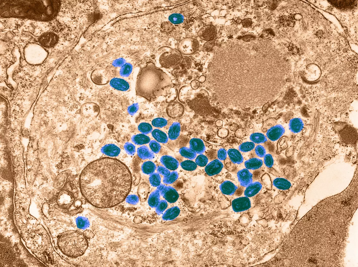
Dr Donald Hopkins worked tirelessly for years to finally eliminate smallpox, which had claimed the lives of millions and had been the purge of human civilisation for centuries.
The disease was once dubbed ‘the most terrible of all the ministers of death’ and killed 300 million people in the 20th century alone.
In the late 1960s, at just 26 years old, the then-newly married doctor found himself in the middle of a smallpox epidemic in Sierra Leone. Through mass vaccination, a staggering 1,000 jabs an hour, he and his team were able to deliver vaccinations to people in the most remote parts of the country. With this groundbreaking strategic plan in place, they ultimately beat the breakout.
Advert
He also led a miraculous effort to curb an outbreak in India in 1974 that peaked at 188,000 cases. It was challenging and often complex, work dealing with the bureaucratic elements of different agencies.
A world-renowned expert in the field of infectious diseases, Hopkins is also a Pulitzer prize-nominated writer for his book Princes and Peasants: Smallpox in History in the early 80s.
Dr Hopkins has since turned his attention to the horrendous Guinea worm disease; after realising the rollout of clean water in remote communities was key to tackling the parasite, he’s been working on a solution for around 30 years and has made tremendous progress.

Advert
People contract Guinea Worm disease when drinking contaminated water with water fleas containing Guinea Worm larvae. The worm hatches in the body after water consumption and then spends a year growing up to a metre in length. The worm then coils up, causing a blister as it attempts to leave the body; videos show the long, thin parasite literally being pulled from a hole in the human body (we don’t recommend Googling this one). Hopkins describes it as ‘rarely fatal’ but ‘searingly painful’.
Often the worm can take weeks or even months to be entirely removed from the body. There is no treatment, so those infected often find themselves wrapping the worm around a stick over the time it takes for it to be fully removed.

The easiest way to not contract the disease is to drink clean water, which can prove difficult in certain parts of the world. But there are cultural issues in many countries that reported cases, meaning it's really not as simple as installing water filters and educating locals about the dangers of consuming bacteria-ridden drinking water.
Advert
When Hopkins began working on the case with the help of the Centers for Disease Control and Prevention (CDC), some of the affected nations had been ravaged by war while AIDS had also taken hold of many communities – but he’s nonetheless seen a worldwide cases dwindle from 3.5million in 1986 to just 27 in 2020.

“When people said to me, 'You're not going to be able to eradicate Guinea Worm disease,' I had heard all of that about smallpox. So I just brushed it off," he told Atlanta Magazine in 2017.
sDr Hopkins has worked with former US President Jimmy Carter closely over the years and in 2015 Carter said: "I would like the last Guinea worm to die before I do."
Advert
Thanks to the work of men like Dr Dan Hopkins, he may just see that happen; finally ridding the world of Guinea worm disease remains a focus for Carter, whose organisation, The Carter Center, continues to fund and support this and other fights around the globe.